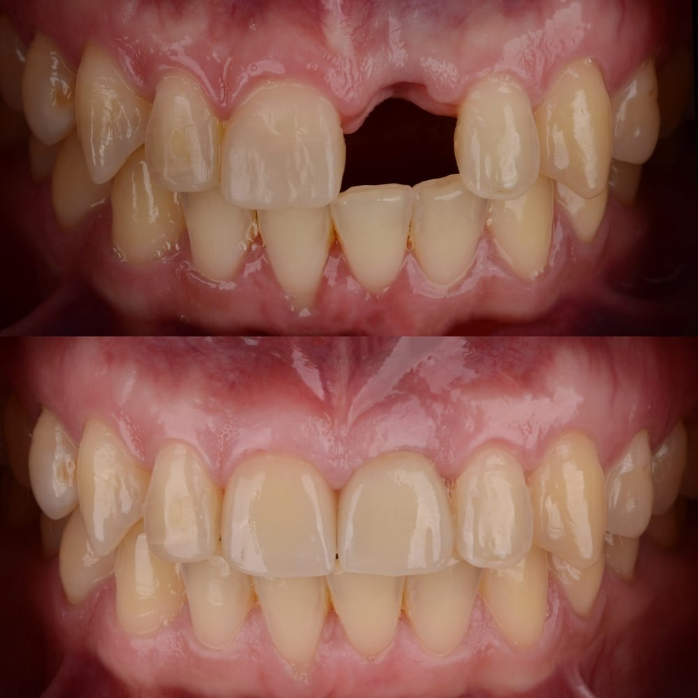
A dental bridge means more than replacing missing teeth – it’s about reclaiming the simple joys of a natural smile. Perhaps you’ve noticed how a gap affects your speech during presentations, makes you hesitate before photos, or limits your food choices at restaurants. Dr. Ingrid Romero at Rovel Dental understands these daily challenges. We’ve helped countless patients transform their smiles with custom dental bridges that look, feel, and function like natural teeth.
By combining advanced dental techniques with meticulous attention to detail, we create bridges that don’t just fill spaces – they restore your ability to laugh freely, speak confidently, and enjoy every bite without a second thought.





